
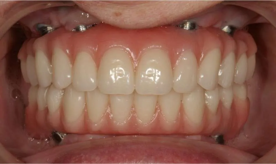
All-on-4® Implants with Severe Bone Loss in Smyrna, GA
The Short Answer: Yes! The All-on-4® technique was specifically designed to be a solution for patients with moderate to severe jawbone loss. It is often possible to get a full set of fixed teeth without the need for major bone grafting.
The Technique: By placing two of the four implants at a strategic angle, we can anchor them in the dense bone that typically remains in the front of the jaw, bypassing areas where bone loss is most significant.
For the Most Extreme Cases: For patients with the most severe bone loss in the upper jaw, an even more advanced graftless solution called zygomatic implants can be used. These longer implants anchor into the cheekbone.
The Key is Planning: A 3D CBCT scan is absolutely essential. This detailed X-ray allows us to find and utilize all available bone to create a secure foundation for your new smile.
The First Step: A comprehensive consultation at our Smyrna office is the only way to know for certain if you are a candidate for a graftless, missing tooth permanent solution.
By Dr. Raheel Thobhani, DMD
If you have been living with missing teeth or dentures for many years, you have likely experienced some degree of jawbone loss. For many, the fear of being told "you don't have enough bone for implants" can be a major barrier to seeking a permanent solution. It's a common and valid concern that can leave you feeling hopeless.
But what if I told you that even with severe bone loss, a permanent, beautiful smile is still within reach? At Smyrna Dental Studio, we specialize in advanced dental implant solutions designed for this exact situation. This guide will explain how the revolutionary All-on-4® technique makes replacing missing teeth a reality, even for patients who thought they weren't candidates.

The Challenge: Why Severe Bone Loss is a Problem
A dental implant needs a solid foundation of bone to fuse with and become stable. When teeth are lost, the jawbone no longer receives the stimulation it needs and begins to shrink. For patients with severe bone loss, there simply isn't enough bone height or width to place traditional implants, which would historically require extensive and lengthy bone grafting procedures.
The Solution: The Genius of the All-on-4® Technique
The All-on-4® treatment concept (sometimes referred to as AOX, or All-on-X) was engineered specifically to overcome this challenge. Instead of trying to build new bone everywhere, this technique cleverly utilizes the dense bone you still have.
The Power of the Angle
The key is the placement of the two back implants. They are placed at a precise, strategic angle. This allows us to:
Bypass Areas of Bone Loss: We can avoid the areas in the back of the jaw where bone loss is typically most severe.
Anchor in Stronger Bone: We can utilize the dense, high-quality bone that almost always remains in the front of the jaw, between the sinuses in the upper jaw, and in front of the primary nerves in the lower jaw.
Create a Stable Foundation: These angled implants provide a broad, stable base, like the legs of a tripod, that can securely support a full arch of permanent teeth.
For the Most Extreme Cases: Zygomatic Implants
For patients with the most severe bone loss in the upper jaw, where even an angled implant may not be an option, an even more advanced graftless solution exists. Zygomatic implants are much longer than traditional implants. They are anchored into the dense, stable bone of the cheekbone (the zygoma) instead of the jawbone, providing a rock-solid foundation for a full set of teeth without the need for any sinus lifting or bone grafting.
The Most Important Tool: Your 3D Scan
How do we know if these techniques are proper for you? It all comes down to meticulous planning, aided by a 3D Cone Beam CT (CBCT) scan. This detailed, three-dimensional X-ray provides a precise map of your unique facial anatomy, enabling us to identify every available pocket of bone and design a safe and predictable surgical plan.
FAQs: Your Questions About Bone Loss and Implants
Q1: I've been told by another dentist I'm not a candidate for implants due to bone loss. Should I still get a second opinion? Yes, absolutely. Not all dentists are trained in these advanced, graftless techniques. If you were told "no" based on a traditional implant plan, you may still be an excellent candidate for an All-on-4® or zygomatic implant solution. A consultation with a practice that specializes in these procedures is essential.
Q2: Is an All-on-4® procedure without a bone graft as strong as a traditional implant procedure? Yes. The All-on-4® technique is supported by decades of clinical research and has a very high, predictable success rate. When planned and executed correctly, the biomechanical stability is engineered to support a full arch of teeth for a lifetime.
Q3: Is the All-on-6® technique better if I have more bone? Potentially. All-on-6 is a variation that uses six implants instead of four. It can be used to provide even greater support and load distribution in patients who have sufficient bone to accommodate the extra implants. The 3D scan and a discussion of your personal factors will determine whether an AOX approach with four or six implants is ideal for you.
Q4: What happens if I'm still not a candidate for even these advanced techniques? While the vast majority of patients are candidates for one of these graftless solutions, in the rarest of cases, traditional bone grafting may still be the only path forward. Another excellent option to consider is an implant-supported denture (snap-on denture), which requires less bone and provides a dramatic improvement in stability over a traditional denture.
Bone Loss is a Challenge, Not a Final Verdict
Severe bone loss is no longer the barrier to a permanent smile that it once was. Thanks to advanced dental implant techniques like All-on-4® and zygomatic implants, a fixed, beautiful, and functional set of teeth is a reality for more patients than ever before.
Don't let a past diagnosis stop you from exploring the incredible, permanent solutions for missing teeth available today.
If you are in the Smyrna area and have been told you have severe bone loss, contact Smyrna Dental Studio today to schedule a comprehensive 3D evaluation. Let us show you what's possible.




