
Cracked Molar? What to Do Before Your Emergency Visit
It's an Emergency: A cracked molar is structurally compromised. Even if it doesn't hurt yet, it is vulnerable to deep infection and further breakage.
Immediate Action: Rinse gently with warm salt water to clean the area. If there is swelling, use a cold compress on your cheek.
Protect Your Tongue: If the tooth has a sharp edge, cover it with a piece of sugar-free gum or orthodontic wax (available at drugstores) to prevent cutting your tongue or cheek.
Dietary Restrictions: Do not chew on that side of your mouth. Stick to soft foods (yogurt, smoothies) and avoid extreme temperatures (hot/cold).
The Golden Rule: NEVER use superglue to fix a tooth. It is toxic and can destroy the tooth structure, making a simple repair impossible.
Call Us: Contact Smyrna Dental Studio immediately. The sooner we treat the crack, the more likely we can save the tooth with a crown rather than an extraction.
By Dr. Leslie Patrick, DMD
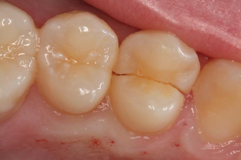
It happens in a split second: you bite down on a popcorn kernel, a piece of ice, or a hard candy, and you hear that sickening "crack." Suddenly, your tongue finds a rough edge, or you feel a sharp jolt of pain. You’ve cracked a molar.
A cracked back tooth is one of the most common dental emergencies we see at Smyrna Dental Studio. While your first instinct might be panic, knowing how to handle the situation in the hours before your appointment can make a huge difference in your comfort and the ultimate survival of the tooth. This guide will walk you through the immediate steps to take to protect your molar until you can get into our chair.

Why a Cracked Molar Needs Immediate Attention
Molars are the workhorses of your mouth, exerting tremendous pressure when you chew. Once the structural integrity of a molar is breached by a crack, that pressure can cause the tooth to split further, potentially reaching the root.
The Risk: A crack acts as an open door for bacteria to reach the inner nerve (pulp), leading to a painful abscess.
The Goal: To stabilize the tooth as quickly as possible to prevent the crack from deepening, which could mean the difference between saving the tooth with a dental crown versus needing a root canal or extraction.
Your First-Aid Action Plan: What to Do Right Now
1. Rinse and Clean the Area
Gently swish your mouth with warm water or a salt-water solution. This helps wash away food particles and debris that might be irritating the crack or the gum tissue.
2. Manage Pain and Swelling
If you are in pain, take an over-the-counter anti-inflammatory like ibuprofen (Advil/Motrin). If you notice any swelling in your jaw or cheek, apply a cold compress (ice pack wrapped in a towel) to the outside of your face for 15 minutes at a time.
3. Cover Sharp Edges
A broken molar often leaves a jagged edge that can shred your tongue or cheek. You can temporarily cover this edge with:
Dental Wax: Found in the pharmacy dental aisle.
Sugar-Free Gum: A small piece of chewed sugar-free gum acts as a great temporary barrier.
4. Adjust Your Diet Immediately
Do not chew on the side of the cracked tooth. The pressure can cause the crack to propagate (spread) instantly. Stick to a soft diet, think mashed potatoes, soup, eggs, and smoothies, until your appointment.
What NOT to Do (Avoid These Common Mistakes)
Do NOT use household glue: We cannot stress this enough. Superglue is toxic and will damage the dentin tubules, potentially killing the nerve of the tooth.
Do NOT use aspirin on the tooth: Placing an aspirin tablet directly against the gum causes a chemical burn. Swallow the medication instead.
Do NOT ignore it if the pain stops: If the pain disappears, it doesn't mean the tooth healed. It often means the nerve has died, and a serious infection is brewing silently.
FAQs: Cracked Molar Questions
Can a cracked molar heal on its own?
No. Unlike a broken bone, a cracked tooth cannot regenerate or heal itself. The crack will only grow larger over time due to chewing forces and bacteria. Professional treatment is the only way to seal and protect the tooth.
What are the treatments for a cracked molar?
Treatment depends on the depth of the crack:
Minor cracks (Craze lines): May just need polishing or no treatment.
Fractured Cusp: Usually treated with a filling or a dental crown.
Deep Crack (into the nerve): Requires a root canal to treat the nerve, followed by a crown.
Split Tooth (below the gumline): Unfortunately, if the crack goes below the bone, the tooth usually needs extraction.
Is a cracked tooth always painful?
Not always. You might only feel pain when you bite down and release, or when you eat something hot or cold. This erratic pain is a classic symptom of "Cracked Tooth Syndrome." Even if the pain comes and goes, the damage is real and needs assessment.
How quickly do I need to be seen?
A cracked molar is a priority dental emergency. You should call us immediately. Ideally, we want to see you within 24 hours to stabilize the tooth and prevent the crack from worsening.
Save Your Molar with Swift Action
A cracked molar is a threat to your oral health, but with quick action and expert care, it can often be saved and restored to full function. By protecting the tooth now and seeking professional help immediately, you are giving your smile the best chance of recovery.
If you suspect you have a cracked, chipped, or broken molar, do not wait for it to hurt more. Contact Smyrna Dental Studio immediately for an emergency evaluation.




