
Services
Refine your smile with precise enamel contouring. At Smyrna Dental Studio, we smooth uneven edges and minor chips to create a harmonious, natural-looking smile quickly and comfortably.
View All Services
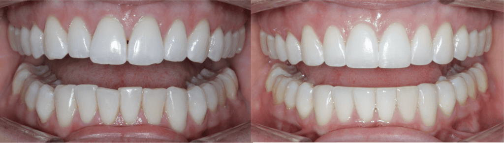
Enhancing Smiles with Precision
Enamel contouring and shaping is a conservative cosmetic dental procedure designed to improve the appearance of your teeth. Using gentle, precise techniques, our dentists remove small amounts of enamel to smooth rough edges, correct minor overlaps, and balance tooth length or shape. The procedure is quick, painless, and does not require anesthesia in most cases. It’s an ideal solution for patients seeking subtle improvements or those preparing for additional cosmetic treatments like veneers or bonding.
The Benefits of Enamel Contouring
Enamel contouring enhances both the aesthetics and function of your teeth. By smoothing irregularities, the treatment creates a more balanced, symmetrical smile and can prevent minor dental issues caused by uneven bite pressure. It is minimally invasive, often completed in a single visit, and provides instant results without the need for extensive dental work. Patients leave with improved confidence in their smile and a polished, natural appearance that complements their facial features.
Your Enamel Contouring Journey
Step-by-step process for a perfectly balanced smile.
Step 1 - Smile Evaluation
We assess your teeth to identify uneven edges, chips, or minor alignment concerns and discuss your desired outcome.
Step 2 - Treatment Planning
A personalized plan is created, outlining which teeth will be contoured and the amount of enamel to be gently reshaped.
Step 3 - Enamel Shaping Procedure
Using specialized instruments, we carefully remove minimal enamel to smooth rough edges and enhance symmetry, ensuring a natural look.
Step 4 - Final Polishing & Review
After contouring, teeth are polished for a smooth finish, and we review your new smile to confirm your satisfaction.
Enamel Contouring FAQs
Is enamel contouring painful?
Most patients experience little to no discomfort, and anesthesia is rarely required.
How long does the procedure take?
Typically, contouring and polishing can be completed in one short visit.
Will it damage my teeth?
No. Only small amounts of enamel are removed, preserving tooth health and integrity.
Is this suitable for everyone?
It works best for patients with minor irregularities, chips, or uneven edges; severe issues may require alternative treatments.
How long do the results last?
Results are permanent, though good oral hygiene is important to maintain overall tooth health.
Refine Your Smile Today
Achieve a smoother, more balanced smile with enamel contouring at Smyrna Dental Studio. Schedule your visit today and enhance your teeth with this quick, painless treatment.







