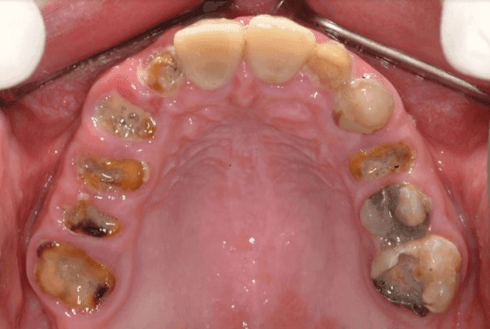
Severely Decayed Tooth
At Smyrna Dental Studio, we understand that dealing with a severely decayed tooth can be both painful and overwhelming. Tooth decay is a common dental issue, but when left untreated, it can progress to severe damage, affecting both your oral health and overall well-being. Fortunately, there are effective treatments available to restore your tooth and relieve discomfort. Let’s explore the causes, symptoms, and best treatment options for severe tooth decay.
Dental Fillings
If decay is caught early before significant damage occurs, we can remove the infected area and restore the tooth with a composite resin filling that blends seamlessly with your natural teeth.
Dental Crowns
For teeth with extensive decay but a stable root structure, a dental crown provides protection and strength. A custom-made crown covers the damaged tooth, restoring function and appearance.
Root Canal Therapy
If decay reaches the inner pulp of the tooth, a root canal may be necessary to remove the infected tissue and prevent further complications. After cleaning and sealing the tooth, we typically place a crown for added durability.
Tooth Extraction and Replacement
If a tooth can't be saved, we offer reliable replacement options:
Dental Implants – Permanent, natural-looking solution
Bridges – Fixed restoration using nearby teeth
Dentures – Restores multiple missing teeth
Regain your smile’s function and appearance with expert care.
Prevention is key to maintaining a healthy smile. Follow these tips to reduce your risk of tooth decay:
Brush Twice Daily with fluoride toothpaste to remove plaque and strengthen enamel.
Floss Daily to clean between teeth and prevent bacteria buildup.
Limit Sugary and Acidic Foods that contribute to decay.
Stay Hydrated to maintain healthy saliva flow.
Visit Your Dentist Regularly for checkups and professional cleanings.











