
Cracked Tooth
A cracked or broken tooth may seem like a minor dental issue, especially if it isn't causing immediate pain. However, ignoring it can lead to serious complications that affect your oral health, overall well-being, and even your wallet. At Smyrna Dental Studio, we emphasize early diagnosis and treatment of dental fractures to prevent long-term damage and discomfort. In this guide, we’ll explore why even a small chip or crack should never be overlooked.
Tooth damage can happen to anyone. Common causes include:
Biting down on hard foods (like ice or popcorn kernels)
Trauma or injury (e.g., sports accidents or falls)
Teeth grinding (bruxism)
Large fillings that weaken the tooth structure
Age-related wear and tear
Understanding the type of crack can help determine how urgent the treatment is:

Craze Lines
Small superficial cracks in the enamel. These are common and usually harmless but should still be monitored.
Fractured Cusp
A break around a dental filling. These often cause minimal pain but can worsen without treatment.

Cracked Tooth
A crack that extends from the chewing surface toward the root. These can cause pain when chewing and may lead to nerve damage if untreated.
Split Tooth
An advanced crack that divides the tooth into separate segments. Often, the tooth cannot be saved in its entirety.

Vertical Root Fracture
A crack that begins at the root and moves upward. These are difficult to detect and often require extraction.
Persistent pain or discomfort when eating or drinking
Visible cracks, chips, or breaks in the tooth
Swollen gums around the affected area
Pus, bad taste, or bad breath indicating an infection
Increased sensitivity to temperature changes
If you notice any of these signs, don’t delay treatment. The sooner you seek care, the more likely your dentist can save your tooth with minimally invasive procedures.


Dental Bonding (For Minor Cracks and Chips)
A composite resin is applied to restore the tooth’s appearance and function.
Ideal for small cracks that don’t extend to the pulp.
Quick and affordable solution with minimal discomfort.

Dental Crowns (For Moderate Cracks)
A custom porcelain or ceramic cap is placed over the tooth.
Strengthens and protects the damaged tooth from further breakage.
Recommended for teeth with significant fractures but still structurally sound.

Root Canal Therapy (For Infected or Deep Cracks)
Necessary when the crack reaches the inner pulp.
The infected tissue is removed, and the tooth is sealed with a crown.
Prevents tooth loss and eliminates pain caused by nerve exposure.

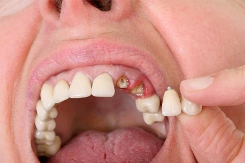
Tooth Extraction and Replacement (For Severe Damage)
If the tooth is beyond repair, extraction is the only option.
Replacement options include dental implants, bridges, or dentures.
Ensures long-term oral health and prevents complications from missing teeth.
Not all cracked teeth are obvious. Be on the lookout for these symptoms:
Pain when chewing or biting
Sensitivity to hot or cold
Intermittent toothache
Swollen gums around the tooth
A visible crack or chip
If you experience any of these signs, schedule an appointment with our Smyrna dental team right away.
While accidents can happen, you can take steps to reduce your risk:
Avoid biting hard foods like ice, hard candy, and popcorn kernels.
Wear a mouthguard if you grind your teeth or play contact sports.
Maintain regular dental checkups to catch small cracks early.
Use a nightguard if you suffer from bruxism (teeth grinding).
Practice good oral hygiene to keep teeth strong and healthy.
Ignoring a cracked or broken tooth can lead to severe pain, infection, and even tooth loss. The longer you wait, the more complex and costly the treatment becomes. Early intervention is key to maintaining your oral health and preserving your natural teeth.
At Smyrna Dental Studio, we specialize in gentle, expert dental care to repair cracked and broken teeth before they cause serious problems. Our experienced team offers same-day emergency appointments, pain-free treatments, and flexible financing options to make your care affordable.
Book Now Your Free Consultation! Don’t ignore the warning signs! Schedule an appointment today to restore your smile and prevent further damage.





